成長期に合わせた子供の矯正装置の種類と選び方のポイント
子供の歯並びやかみ合わせが気になったとき、
「いつから治療を始めるべきか」
「どんな矯正装置を使うのか」
など、疑問や不安をお持ちの保護者の方は少なくありません。
実際、子供の歯列矯正は大人になってからの治療とは目的や方法が異なるため、まずは基本をおさえておくことが安心への近道になります。
ここでは、小児矯正の目的や代表的な装置の種類、選び方のポイントなどをご紹介しましょう。
小児矯正とは?

小児矯正の目的
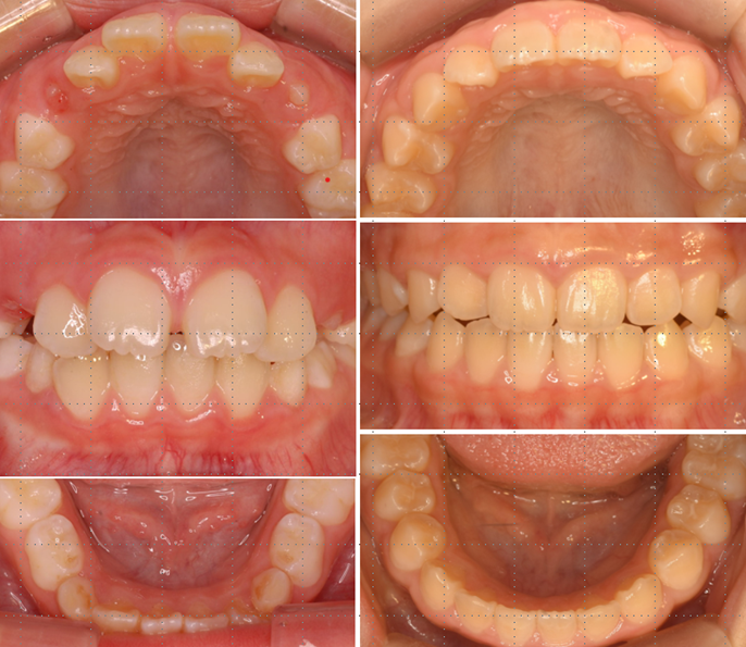
小児矯正は、成長期のあごの発育を利用して歯並びやかみ合わせを整える治療です。
永久歯がきれいに並ぶためのスペースを確保したり、口呼吸や舌の位置など「歯並びが悪くなるクセ」を改善したりします。これらを早期に行うことが、見た目の改善だけでなく「しっかり噛める」「はっきり話せる」といった機能面の向上につながります。
また、将来的に本格的な矯正(成人矯正)が必要になった場合でも、負担を少なく、短期間で治療が終えられる可能性があります。
子どものそもそもの素因(顎骨の成長限界)もありますが、各患者様に適したオーダーメイドの治療によって将来的な抜歯矯正を避けられることが可能になってきます。
大人の矯正との違い
大人の矯正は、成長が終わったあごの大きさに合わせて歯を並べるため、症状によっては抜歯が必要になることがあります。
一方の小児矯正は、成長中のあごの大きさや位置をコントロールできるため、抜歯せずに歯並びを整えられる可能性が高くなります。
また、将来的なあごの痛み(顎関節症)やかみ合わせの不調を防ぐ効果も期待できます。小児期に適切な顎骨の成長を促すことで将来的な抜歯による矯正を避けられることが可能になってきます、患者様の素因もありますが抜歯を避けることと、正しい舌位と鼻呼吸の獲得を目指していてこれらは子供達の人生のなかでも価値のある財産と考えております。
いつから始める?
小児矯正を始める時期は個々の症状によって異なりますが、おおまかな目安は6~8歳ごろです。永久歯が生え始めるこの時期が、あごの成長を利用しやすいタイミングとなります。
ただし、受け口(下顎前突)は、3歳ごろから治療を始めるほうがよいケースもありますので、気になる場合は早めの相談が安心です。
「もう少し様子を見てもいいかな」と思っても、小学校入学前には一度矯正相談を受けておきましょう。

代表的な小児矯正装置とその特徴
小児矯正で使用する装置には、マウスピースタイプや固定式など様々な種類があります。ここでは代表的な5つの装置をご紹介します。
①プレオルソ

3~10歳向けのマウスピース型装置で、口呼吸や舌の悪い位置を改善し、あごの成長を正しく導きます。就寝時や日中の決められた時間に装着することで、その効果を発揮します。
やわらかい素材で装着時の痛みが少なく、食事や歯磨きのときに外せるので、お口の中を清潔に保ちやすいのが特徴です。
②マイオブレース
3~15歳まで使用できるマウスピース型装置で、就寝時と日中の決められた時間に装着します。
頬や唇の筋肉の使い方や舌の動かし方など、歯並びが悪くなる原因そのものにアプローチし、永久歯が自然と正しい位置に生えるように導いていきます。
自分で取り外しができるため、食事や歯磨きがしやすいのがメリットです。
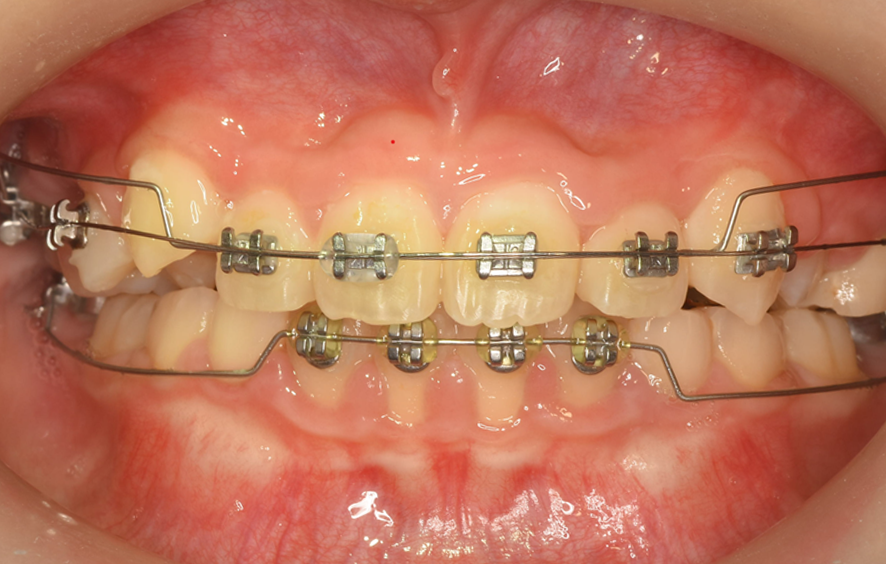
③2×4(ツーバイフォー)装置 (Bioprogressive法)
乳歯と永久歯が混ざる時期(混合歯列期)に使う固定式の装置です。
前歯と奥歯に小さな金具(ブラケット)とワイヤーをつけて歯を動かします。自分で取り外しはできませんが、その分、効果が安定します。ただし、歯磨きが難しくなるため、仕上げ磨きや定期的なクリーニングが必要です。
Bioprogressive法は抜歯矯正を避けるための画期的な手法であり、当院では将来的に抜歯矯正になりそうな患者様には積極的にこの治療を行っています。
*その子の持つ素因もあるので必ずしも2期治療(場合によっては抜歯を行う全顎矯正治療)が必要なくなるわけではないです。

④小児マウスピース治療 (smartee kinder , smartee teen など)
6~12歳前後の混合歯列期に使うマウスピース型装置です。
あごの成長をコントロールしながら、歯並びを整えることができます。また、装置が透明なので、写真撮影や学校生活でも目立ちにくいのが利点です。
複雑な歯牙の移動が必要な場合はこちらの方法を使用することがあります、各マウスピースを3~7日でどんどん交換して修正をかけていきます。また下顎の成長を促進し顎位を安定化する場合にも効果を発揮します。



⑤プレフィニッシャー
歯並びの最終段階で使用する、上下一体型のマウスピース型装置です。
いわゆる最終的に行う歯固めのようなものです。歯並びの微調整やかみ合わせの安定のほか、保定装置としての機能も果たします。
そのほかに固定式のタイプもあり、院長の診断のもと個々のお子様に合った装置を使用していきます。

⑥バイオネーター
特に下顎の劣成長や後退位が認められる場合に顎の位置づけを前方部に発達誘導したり、拡大ネジを付けることで左右的な顎骨の成長も同時に行うことのできる画期的な装置です。
どの治療が合う?選ぶときのポイント
装置を選ぶ際は見た目や使いやすさだけでなく、お子様の成長段階や生活習慣、協力度にあわせて選ぶことが大切です。ここでは、選択の際におさえておきたい3つのポイントをご紹介します。
①成長段階・症状にあわせる
乳歯と永久歯が混ざる混合歯列期は、あごの成長をうながす取り外し式の装置で、永久歯が生えそろった後は固定式の装置で歯並びを整えるのが一般的です。
また、受け口や出っ歯など、症状によっても選ぶ装置が変わります。

②装置の種類による違いを知る
取り外し式の装置は食事や歯みがきがしやすく衛生的ですが、装着時間を守らないと効果が落ちてしまいます。
一方の固定式は効果が安定しますが、歯みがきが難しく、虫歯や歯ぐきの炎症のリスクが高まります。日常のケアや通院のしやすさも考慮しましょう。

③協力度と生活習慣も重要
取り外し式の装置は毎日決められた時間に装着しないと、効果を発揮しません。お子様が自分で装着できるか、スポーツや楽器演奏による影響がないかも確認しましょう。

まとめ
小児矯正は「成長期」という限られた時期を活かして、歯並びやかみ合わせを整える治療です。
装置にはそれぞれに特徴や対象年齢があるため、選ぶ際は成長段階や生活習慣、治療の目的などをふまえ、歯科医とよく相談しながら選択していきましょう。
お子様の歯並びで気になることがあれば、お気軽に当院へご相談ください。
