咬合再構成審美歯科歯周病治療矯正歯科
前歯審美障害へ補綴前処置を行い、審美的治療を行った症例

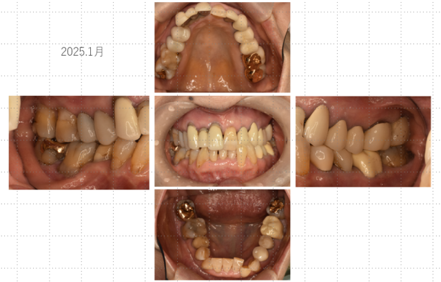
Before

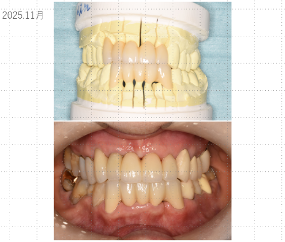
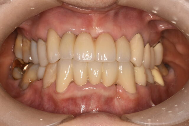
After
| 主訴 | 上の前歯がグラグラしてきていて痛い。 歯を綺麗にしたい。 |
|---|---|
| 診断名 | 321┴2根尖性歯周炎 中等度 ~ 一部重度広汎性歯周炎 |
| 年齢・性別 | 70代 女性 |
| 治療期間・回数 | 11か月 約20回 |
| 治療方法 | ①予後不良歯(1┘、┌2)の抜歯 ②根管治療 ③歯周病基本治療 ④矯正治療 ⑤補綴(セラミック)治療 |
| 費用 | ①矯正治療 ¥165,000- ②ジルコニアクラウン 計10本 ¥880,000- ( ¥88,000- / 1本 ) |
| デメリット・注意点 | 期間が比較的長く、費用が高い。 |
| 備考 | 口腔内検査の結果から患者様に応じた治療計画を立案・説明し安全に治療をすすめていきます。 治療段階ごとにレントゲン撮影や口腔内の規格写真を撮影し資料を保存し、それを元にカウンセリングを行います。段階ごとの治療効果を理解していただき、患者様の希望に沿った治療を提供いたします。特に前歯部の最終補綴は技工士の立ち合いの元、形態や色調(明度、透明感)、歯周組織の状態を検査して、十分なカウンセリングを行い決定します。 |
治療詳細
-

① 初診時 ~ 治療介入時
初診時は上下顎に古い補綴物が入っており、下顎のSpee湾曲が強く上前歯に突き上げが強い状況でした。下顎前歯は叢生が強い状態です。また全顎的な歯肉の炎症が認められました。
-

② 補綴前処置スタート
補綴前処置として
①歯周病基本治療
②部分矯正
③不良補綴物の除去、不良歯( 1┘、┌2 )の抜歯
④その他根管治療など
を行っていきます。特に歯周病基本治療は重要です、元々の患者様のモチベーションの高さや治療への積極性があり治療計画の立案の際にはしっかりとコミュニケーションを取らしていただくことが出来ました。 -

③ 補綴前処置途中
歯肉炎症が治まり、歯肉縁が成熟してきています。
また部分矯正によってSpee湾曲の解消、叢生の解消が進んでいます。
上顎前歯部は根管治療を行っています。 この頃には最終補綴をセットしていく準備が整ってきており患者様も初診からの変化に喜んで頂いています。 -

③ セット時
歯周組織の状態を検査します。セラミッククラウンの最終補綴は技工士の立ち合いの元、形態や色調(明度、透明感)を慎重にカウンセリングしながら決定します。
-

④ メンテナンス移行時
歯周病基本治療で習得していただいた清掃習慣があり、今後の安定した口腔環境・審美性が見込めます。今後、経過観察を行いながら細かい変化を見落とさずに健康な口腔環境を維持していきます。
