ホワイトニング
ホワイトニング審美歯科
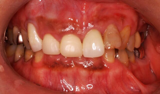
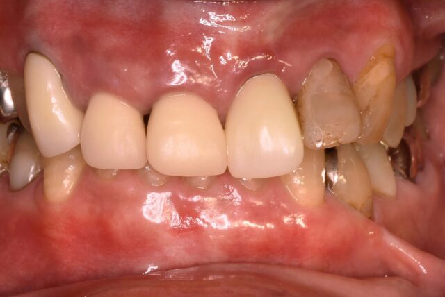
歯肉漂白(ガムピーリング)の症例

Before

After
| 主訴 | 歯茎が黒ずんでいて笑った時に気になる。 |
|---|---|
| 診断名 | 歯肉メラニン沈着 |
| 年齢・性別 | 70代 女性 |
| 治療期間・回数 | 1回 |
| 治療方法 | 歯肉漂白剤による漂白 |
| 費用 | ¥5,500- |
| デメリット・注意点 | 長時間漂白すると歯肉炎症が起こるリスクがあります。治療の際は歯科医の監督の元、安全に配慮した状況で施術を行います。 |
| 備考 | 一回の漂白後、希望があれば再度漂白が可能です。細かく記録を取り、カウンセリングを行い治療を行っていきます。 |
