矯正歯科
咬合再構成審美歯科歯周病治療矯正歯科
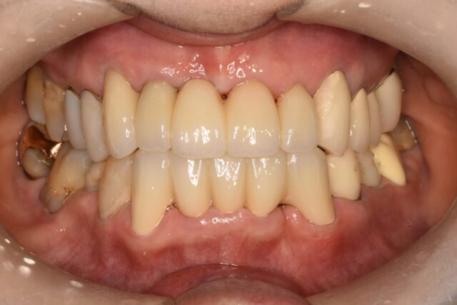
前歯審美障害へ補綴前処置を行い、審美的治療を行った症例

Before

After
| 主訴 | 上の前歯がグラグラしてきていて痛い。 歯を綺麗にしたい。 |
|---|---|
| 診断名 | 321┴2根尖性歯周炎 中等度 ~ 一部重度広汎性歯周炎 |
| 年齢・性別 | 70代 女性 |
| 治療期間・回数 | 11か月 約20回 |
| 治療方法 | ①予後不良歯(1┘、┌2)の抜歯 ②根管治療 ③歯周病基本治療 ④矯正治療 ⑤補綴(セラミック)治療 |
| 費用 | ①矯正治療 ¥165,000- ②ジルコニアクラウン 計10本 ¥880,000- ( ¥88,000- / 1本 ) |
| デメリット・注意点 | 期間が比較的長く、費用が高い。 |
| 備考 | 口腔内検査の結果から患者様に応じた治療計画を立案・説明し安全に治療をすすめていきます。 治療段階ごとにレントゲン撮影や口腔内の規格写真を撮影し資料を保存し、それを元にカウンセリングを行います。段階ごとの治療効果を理解していただき、患者様の希望に沿った治療を提供いたします。特に前歯部の最終補綴は技工士の立ち合いの元、形態や色調(明度、透明感)、歯周組織の状態を検査して、十分なカウンセリングを行い決定します。 |
インプラント咬合再構成審美歯科歯周病治療矯正歯科
コンビネーション治療(歯周病治療、矯正治療、インプラント・補綴治療)と、生活習慣改善指導によって口腔環境が改善、維持された症例

Before

After
| 主訴 | 部分入れ歯を作ったが噛みにくい、歯が全体的に揺れてきて噛みにくい。 |
|---|---|
| 診断名 | 重度広汎性歯周炎 #25、#45(残根) 予後不良歯 |
| 年齢・性別 | 初診時60代 |
| 治療期間・回数 | ・歯周病基本治療~再評価まで 約8回 / 8か月 ・矯正治療 約10回 / 6か月 ・インプラント治療 約11回 / 12か月 |
| 治療方法 | ① 歯周病基本治療 ~ 再評価 ~ 歯周外科治療 ~ 再々評価 ② 矯正治療による補綴前処置、咬合再構成準備 ( 歯槽骨内の歯根部の位置づけ、角度の微調整 ) ③ インプラント埋入術 |
| 費用 | ・矯正治療 : 約 ¥73,000 ・インプラント治療 : 約 ¥700,000 |
| デメリット・注意点 | ・ 期間が長く、回数・費用がかかる |
| 備考 | 口腔内検査の結果から患者様に応じた治療計画を立案・説明し安全に治療をすすめていきます。 治療段階ごとにレントゲン撮影や口腔内の規格写真を撮影し資料を保存し、それを元にカウンセリングを行います。段階ごとの治療効果を理解していただき、患者様の希望に沿った治療を提供いたします。 |
咬合再構成審美歯科歯周病治療矯正歯科
コンビネーション治療(歯周病治療、矯正治療、補綴治療)によって口腔環境が改善・維持された症例

Before

After
| 主訴 | 疲れると歯茎が全体的に痛い |
|---|---|
| 診断名 | 重度広汎型成人性歯周炎 過蓋咬合 空隙歯列 |
| 年齢・性別 | 初診時40代・女性 |
| 治療期間・回数 | 歯周病基本初期治療 : 約6か月/7回 矯正治療 : 約18か月/15回 |
| 治療方法 | ① 歯周病基本初期治療 ・精密検査 ・TBI(歯磨き指導) ・SC (縁上歯石除去) ・SRP(縁下歯石除去) ・再評価 ・メンテナンス ② 矯正治療 マルチブラケット・ワイヤーを利用 ③ 補綴治療 被せ物を施す一般的な治療 |
| 費用 | 矯正治療期間 : 約 ¥ 245,000- |
| デメリット・注意点 | 期間が長い、回数がかかる |
| 備考 | 口腔内検査の結果から患者様に応じた治療計画を立案・説明し安全に治療をすすめていきます。 治療段階に応じて十分なカウンセリングを行い、患者様の希望に沿った治療を提供いたします。 |
